検索
MENU
北野病院について
病院について
病院概要
歴史
フロア案内
交通アクセス
サービス施設駐車駐輪場案内
患者サービス向上活動
広報活動
患者様の会
働きやすい病院認定病院
輸血拒否に関する基本方針
個人情報保護・公開情報
公益通報について
診療科・部門
診療科・部署の紹介
診療科
看護部
メディカルスタッフ部門
相談支援部門
専門医療チーム
管理部門
外来受診のご案内
外来受診のご案内
初診
紹介状あり
紹介状なし
再診
予約変更
予約キャンセル
外来表・休診情報
受付が異なる診療科
救急・時間外受診
予防接種・ワクチン
セカンドオピニオン
診断書・紹介状・処方箋再発行など
会計・支払い
院外処方せん送信サービス
診察・入院費あと払いサービス
患者相談窓口
受診希望の外国の方
入院・面会のご案内
入院・面会のご案内
入院の流れ
入院に必要な物
入院中の生活環境
入院費用について
患者様・ご家族様へのお願い
面会について
特別病棟のご案内
地域医療・診察予約
地域医療サービスセンター
診察・検査予約(医療機関向け)
診察予約(患者様向け)
セカンドオピニオン
北野健康クラブ
かかりつけ医検索システム
医療相談のご案内
地域連携クリニカルパス
登録医制度・開放型病床
教育・採用
教育と採用
医師の教育・採⽤
看護職の教育・採用
薬剤師の教育・採用
メディカルスタッフの採⽤
事務職の採用
診察予約・変更
よくあるご質問
お問い合わせ
English
診察予約・変更
よくあるご質問
お問い合わせ
English
病院について
病院について
病院概要
歴史
フロア案内
交通アクセス
サービス施設駐車駐輪場案内
患者サービス向上活動
広報活動
患者様の会
輸血拒否に関する基本方針
個人情報保護・公開情報
公益通報について
診療科・部門
診療科・部門
診療科
看護部
メディカルスタッフ部門
相談支援部門
専門医療チーム
管理部門
外来受診の
ご案内
外来受診のご案内
初診
紹介状あり
紹介状なし
再診
予約変更
予約キャンセル
外来表・休診情報
受付が異なる診療科
救急・時間外受診
予防接種・ワクチン
セカンドオピニオン
診断書・紹介状・処方箋再発行など
会計・支払い
院外処方せん送信サービス
診察・入院費あと払いサービス
患者相談窓口
受診希望の外国の方
入院・面会の
ご案内
入院・面会のご案内
入院の流れ
入院に必要な物
入院中の生活環境
入院費用について
患者様・ご家族様へのお願い
面会について
特別病棟のご案内
地域医療・
診察予約
地域医療・診察予約
診察・検査予約(医療機関向け)
診察予約(患者様向け)
セカンドオピニオン
北野健康クラブ
かかりつけ医検索システム
医療相談のご案内
地域連携クリニカルパス
登録医制度・開放型病床
教育・採用
教育・採用
現在募集中の求⼈
職種別 採用情報
医師の教育・採⽤
看護職の教育・採用
薬剤師の教育・採⽤
メディカルスタッフの採⽤
事務職の採用
職場環境
働きやすい病院づくり
男女共同参画委員会
⼦育て⽀援
キャリア⽀援(キャリア相談窓⼝)
外来担当表・休診情報
外来診察待ち時間
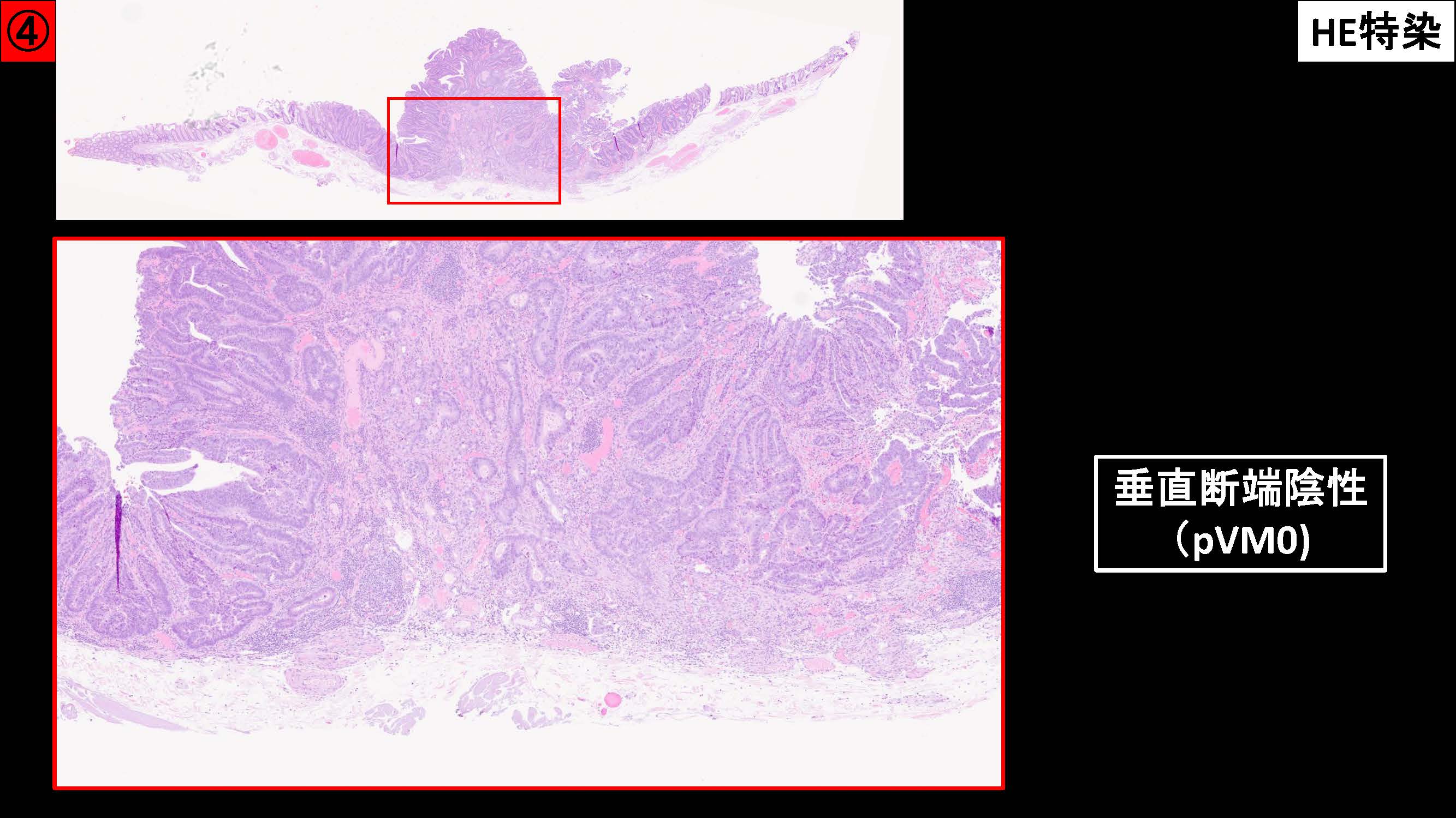
消化管Mapping~大腸~ 2025.6.11
ホーム
»
診療科・部署の紹介
»
消化器センター 消化器内科
»
消化管Mapping
»
消化管Mapping~大腸~
»
消化管Mapping~大腸~ 2025.6.11
消化器内科
消化器内科
内視鏡検査・治療
大阪市膵癌早期発見プロジェクト
消化管Mapping
スタッフ紹介
外来担当表 代診・休診情報
全ページPDFのダウンロードはこちら
Question
Answer